Straight Teeth
Orthodontics is a specialty of dentistry that is concerned with the study and treatment of malocclusions (improper bites), which may bea result of tooth irregularity, disproportionate jaw relationships or both.
Orthodontic Treatment
Orthodontic treatment can focus on dental displacement only or it can deal with the control and modification of facial growth. In the latter case, it is better defined as “dentofacial orthopedics,” which achieves straight teeth and a correct bite.
Orthodontic treatment can be carried out for purely aesthetic reasons — improving the general appearance of patients’ teeth and face for cosmetic reasons — but treatment is often prescribed for practical reasons, providing the patient with a functionally improved bite.
Our orthodontist is Dr. Andrew Chase, a dentist ,specializing in Invisalign in the heart of Boston.
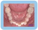
Lower Crowding
Lower crowding may be corrected with expansion, without extracting any teeth

Deep Bite
Tooth movements can correct a bite that is very deep.

Under bite
Typical tooth movement can be used to correct a midface deficiency or under bite.

Over bite
It is possible to resolve protrusive teeth and/or a recessive chin with orthodontic treatment.

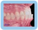
Front Gap
A front gap can be closed with orthodontic movement.

Placement of Brackets
A bracket is placed with orthodontic glue on a tooth.


Types of Braces
Metal Braces
Metal braces are the most common type. They are made of high-grade stainless steel. Nowadays, metal braces are smaller, more comfortable and more attractive than in the past.
Clear/Zirconia Braces
Ceramic brackets are made of composite materials. They are very strong and generally do not stain. Adults like to choose ceramic braces because they blend in with the teeth and are less noticeable than metal braces. These are the type of braces actor Tom Cruise had.
Invisalign
Invisalign is the invisible way to straighten your teeth without braces Invisalign uses a series of clear removable aligners to straighten your teeth without metal wires or brackets. Invisalign has been proven effective in clinical research and in orthodontic practices nationwide.