Dentistry is the art and science of improving the appearance, function and health of the teeth and associated structures. Cosmetic dentistry is dental work that improves the appearance and function of a person’s teeth. The experts at Copley Dental Associates P.C., through cosmetic dentistry, improve the appearance of the teeth to create the beautiful smile you want.
Dr. Charles Badaoui is our general and cosmetic dental expert at Copley Dental Associates.
Materials Used in General and Cosmetic Dentistry Treatments
In the past, dental tooth fillings and other tooth restorations were made of gold, amalgam and other metals. Today, fillings and restorations can be made entirely of porcelain or composite materials that closely match the appearance of natural teeth, improving their cosmetic appearance. These tooth-colored materials are bonded to the underlying tooth structure with resin adhesives.
Treatments
- Zoom!® Teeth Whitening Treatment
- Home Teeth Whitening Treatment
- Invisalign
- Lumineers
- Dental Veneers
- White Dental Fillings
- All-Porcelain Dental Crowns
- Procera AllCeram Crowns
- Complete Smile Makeovers
Common Cosmetic Dental Treatments include:
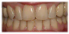
- Whitening, or “tooth bleaching” treatment, is the most common cosmetic dental procedure. While many teeth whitening options are available, dentist – supervised whitening treatments are recommended for lightening or whitening discolored teeth.
- Enamel shaping removes parts of the contouring enamel, improving the appearance of the tooth. It may be used to correct a small tooth chip. It is also known as enameloplasty, odontoplasty, recontouring, reshaping, slenderizingand and stripping.
- Bonding is an option for chipped or cracked teeth. An enamel-like dental composite material is applied to a tooth’s surface, sculpted into shape, hardened and then polished, giving you a beautiful smile.
- Veneers are ultra-thin, custom-made laminates affixed directly to the teeth. Veneer application is an increasingly popular procedure in dentistry. Veneers are used for closing gaps between teeth or disguising discolored teeth that did not respond to tooth-whitening procedures.
Lumineers


Cleaning – Teeth Whitening


Teeth Whitening


Veneers – Stained Teeth

