Boston Emergency Dentist For Toothache And Pain Relief
Dental emergency can occur at any time. At Copley Dental, we are ready to help heal your toothache and provide pain relief at all times.
Our experienced team of Boston dentists is here to provide you with dental emergency services 24 hours a day, 365 days a year.
24-HOUR EMERGENCY DENTAL CARE
If you have a dental emergency, contact our office at:
DURING REGULAR BUSINESS HOURS:
AFTER HOURS,WEEKENDS AND HOLIDAYS *Pager:
Recommendations until you get to Copley Dental
Oil of cloves, which contains eugenol, is commonly used to treat toothaches. A drop of oil of cloves can be applied with a cotton swab to relieve pain from dental caries. After wisdom tooth extraction, a condition known as dry socket can develop when nerve endings are exposed to air. A piece of sterile gauze or cotton soaked in oil of cloves may be placed in the socket after careful cleaning with saline to achieve pain relief.
Analgesics such as Tylenol (acetaminophen) and ibuprofen are recommended. Ibuprofen has the additional benefit of being anti-inflammatory. Ice and/or heat are also frequently recommended.
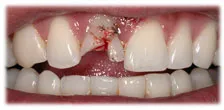
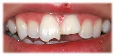
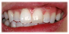
Fractured Tooth


Fractured or Broken Tooth


Fractured Tooth


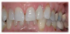
Broken Teeth


Broken/Chipped Teeth


