Emergency dentist
Relieve your pain now with highly trained professionals with +30 years of experience
REQUEST A CONSULTATION
One of our professionals will contact you as son as possible
sending message...Types of emergencies
Our experienced team of Boston dentists is here to provide you with dental emergency services 24 hours a day, 365 days a year.

Fractured Tooth
A tooth fracture is a break or crack in the hard shell of the tooth.

Fractured or
Broken Tooth
Broken teeth account for the majority of dental injuries.

Broken/Chipped Teeth
Poor oral care can make you vulnerable to a chipped or cracked tooth.

Other
We provide services like sleep apnea, pediatric dentistry, cosmetic dentistry, orthodontics and braces.
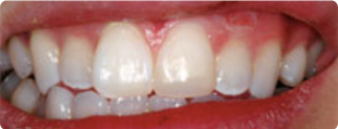
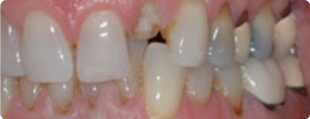
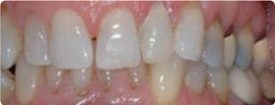
Our results speaks for themselves


Fractured Tooth
A tooth fracture is a break or crack in the hard shell of the tooth. The outer shell of the tooth is called the enamel. It protects the softer inner pulp of the tooth that.


Broken/Chipped Teeth
Poor oral care can make you vulnerable to a chipped or cracked tooth, especially if your tooth enamel is already damaged or thinning.


Fractured or Broken Tooth
Broken teeth account for the majority of dental injuries. Most chipped teeth can be repaired either by reattaching the broken piece of tooth enamel or by bonding a.

Why Copley Dental?

“No one expects to need ergency dental surgery on a Friday afternoon. I got hit hard this Friday afternoon with easily the worst pain I have ever had in my mouth. I called Copley Dental in less then a great state of anners. They were calm, professional, got me in their offices in no time. They pulled an extremely infected wisdom tooth out of my mouth. I have never been so grateful to have my tooth pulled. I had tears in my eyes when they pulled that sucker out. Theyโre working with me for a plan for the rest of my wisdom teeth. Iโm so thankful I found them randomly on google. I would have gone anywhere. I am so fortunate to find such a great dental office on such short notice. Thank you for taking my pain away. I donโt know what I would have done being in that level of pain.”




